Behandlungsergebnisse

Die folgenden Vorher-Nachher-Beispiele zeigen ausgewählte Behandlungsergebnisse aus unserer Praxis und geben einen Einblick in die Möglichkeiten moderner Zahnmedizin. Dazu gehören Zahnkorrekturen mit Alignern, festsitzenden Zahnspangen sowie Implantatversorgungen. Jede Behandlung wird individuell geplant und mit höchster Sorgfalt umgesetzt.

Im Bereich der Implantologie setzen wir auf hochwertige Implantatsysteme von Straumann, die für Qualität, Präzision und Langlebigkeit stehen. Durch eine sorgfältige Planung und die Behandlung durch erfahrene Spezialisten bei Dr. Nrecaj können Implantatversorgungen nach hohen fachlichen Standards umgesetzt werden.

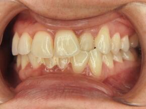
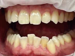
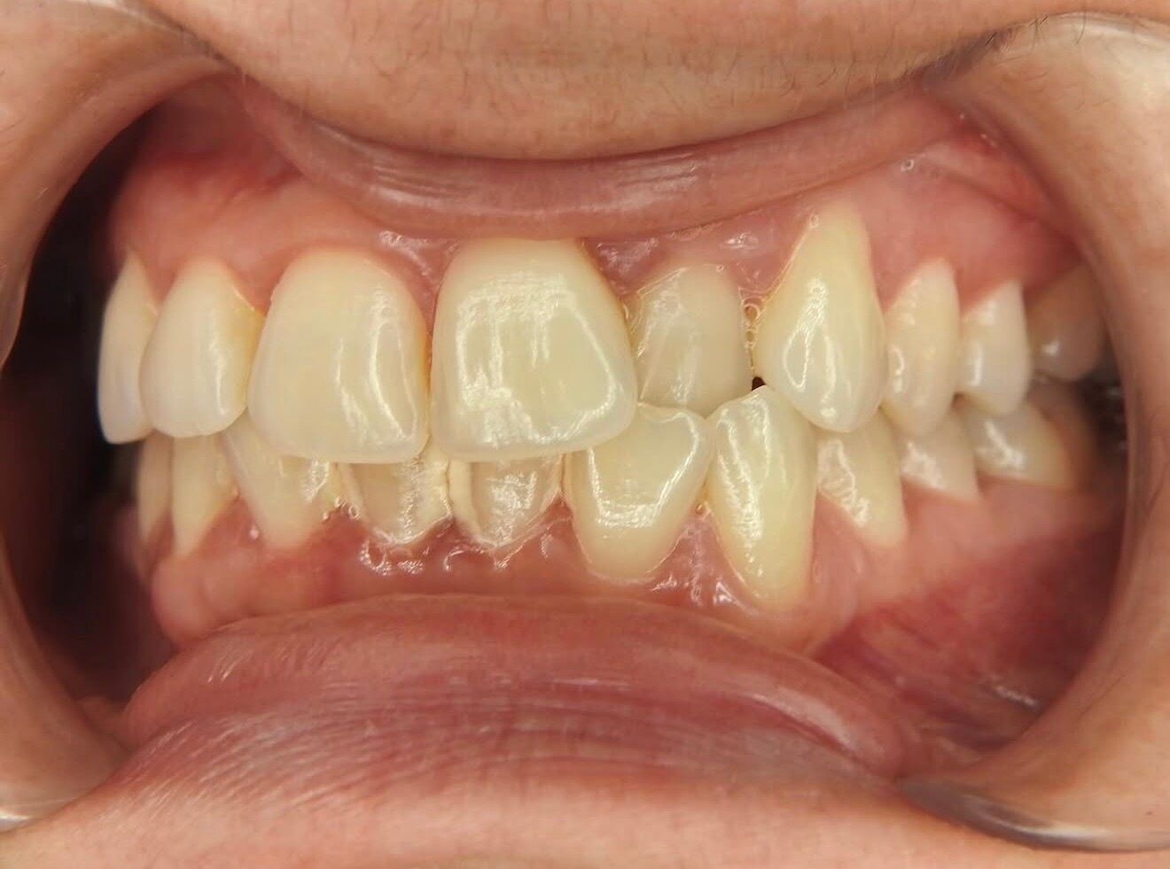
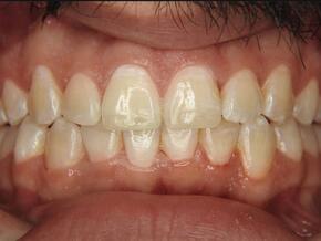
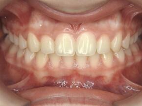
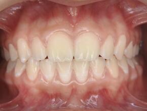
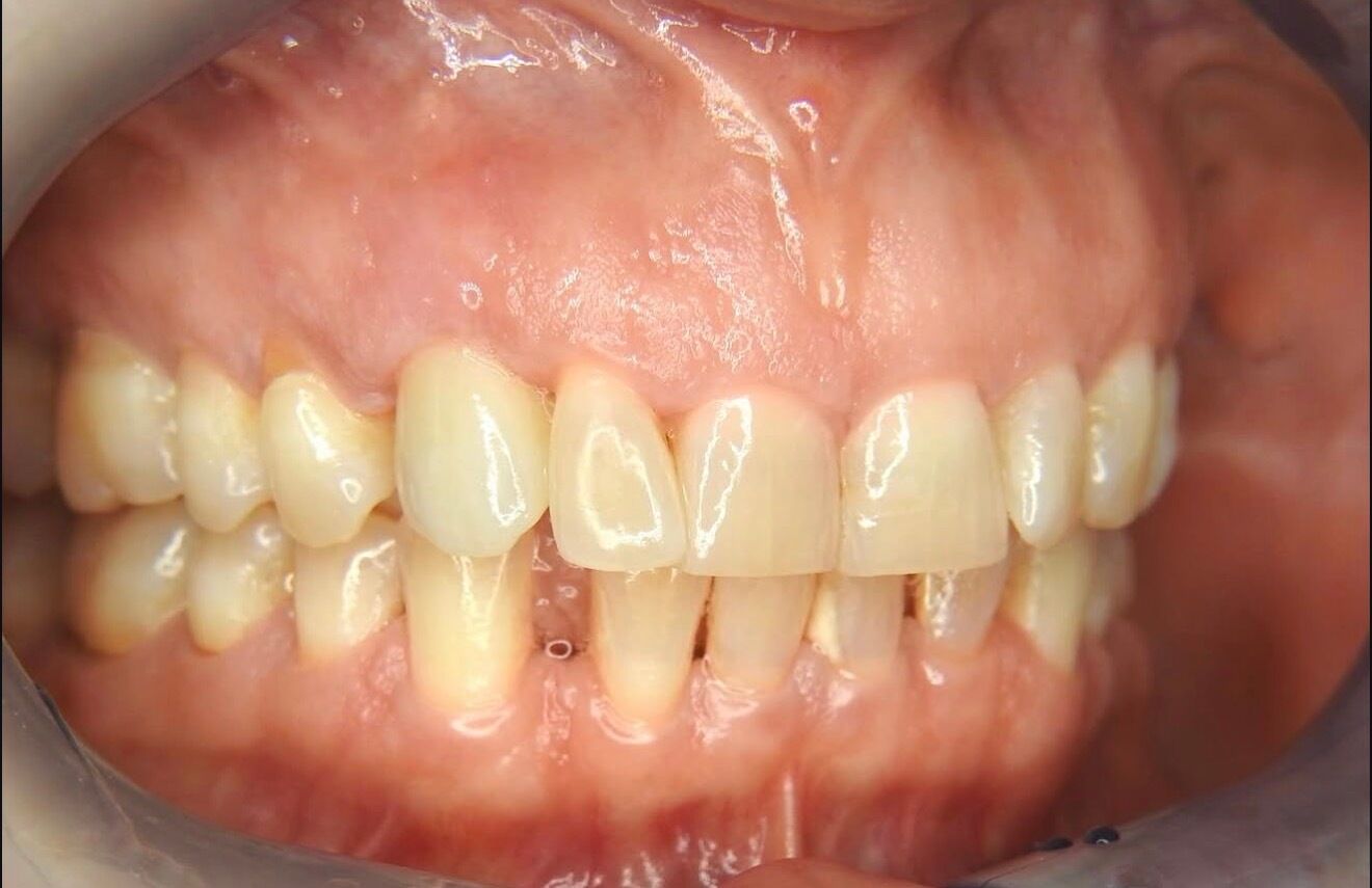
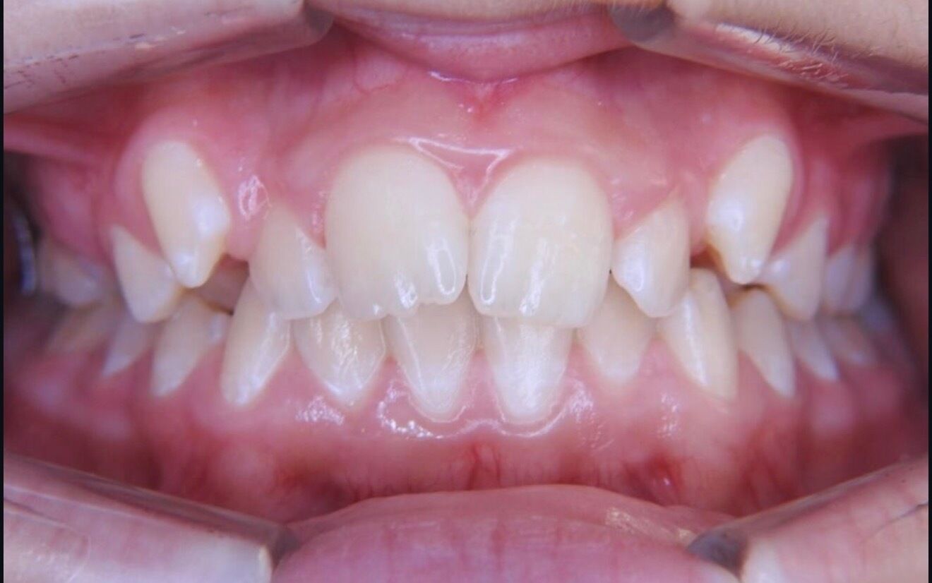
Die Behandlungsdauer betrug 2 Jahre, in denen die Zahnfehlstellungen mithilfe einer festen Zahnspange schrittweise korrigiert wurden, sodass ein funktionell und ästhetisch harmonisches Ergebnis erreicht werden konnte.

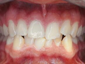
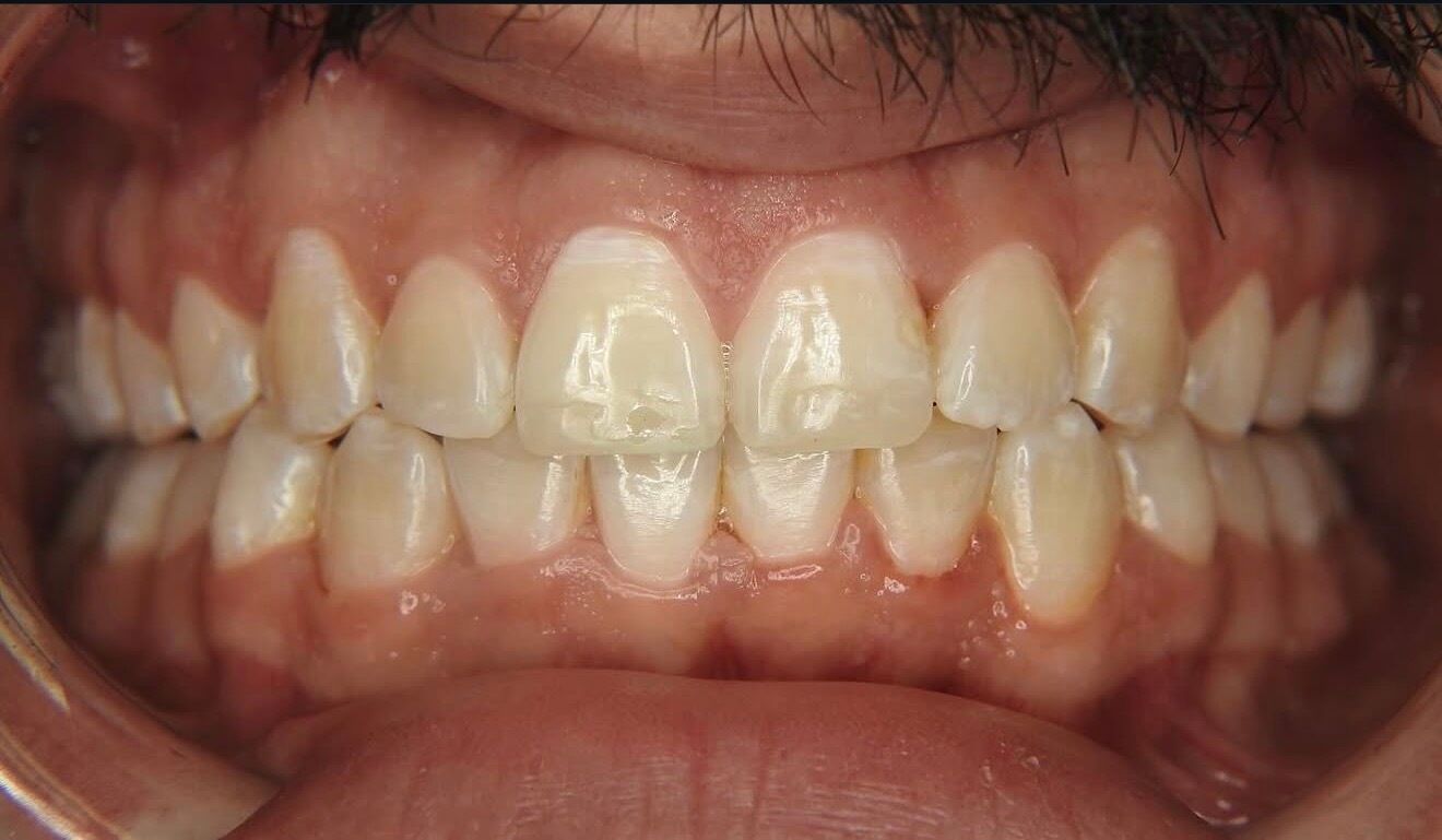
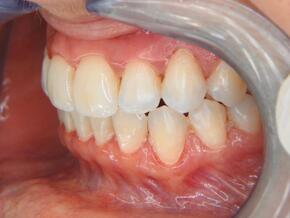
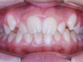
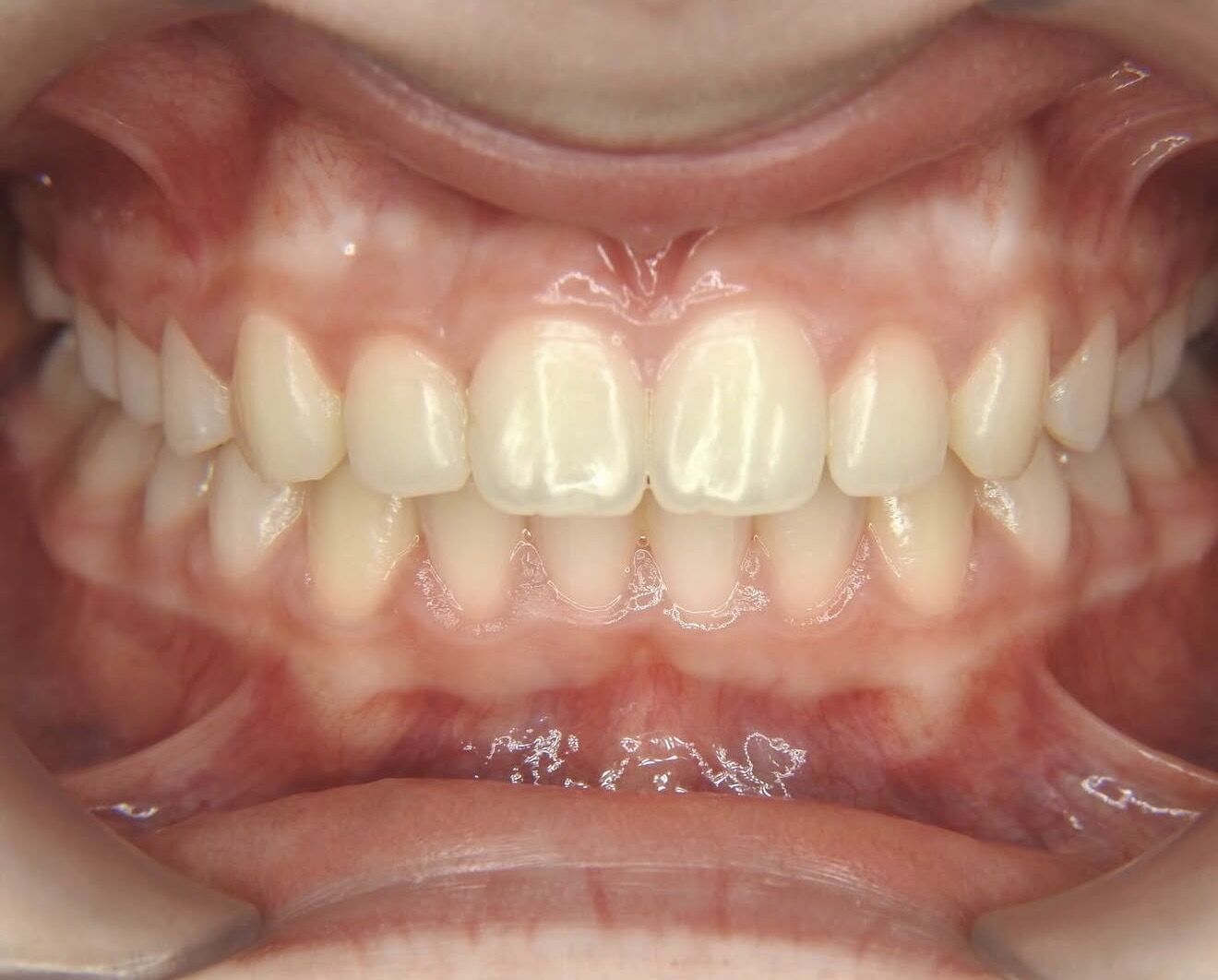
Die Behandlungszeit betrug 1 Jahr, in dem die Zahnstellung kieferorthopädisch korrigiert wurde.

1,5 Jahre mit fester Zahnspange und das Ergebnis kann sich sehen lassen. Geduld, Präzision und moderne Kieferorthopädie führen zu einem gesunden und schönen Lächeln.

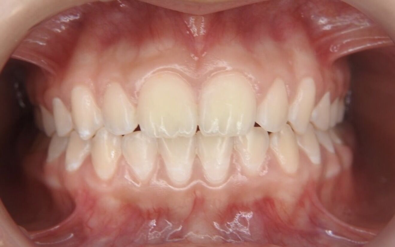
Behandlungszeit: 11 Monate

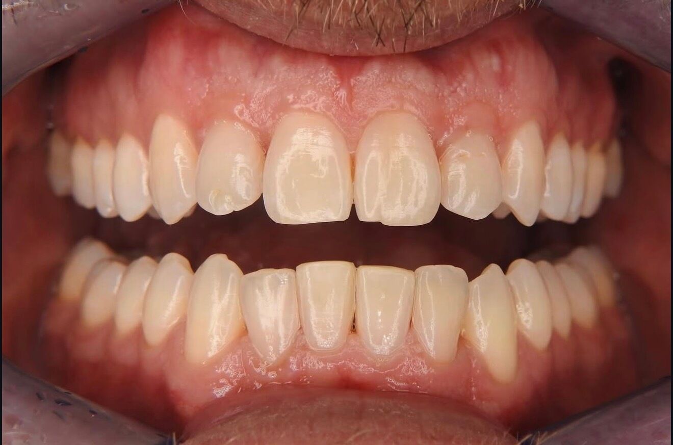
Behandlungsdauer: 1 Jahr 

Behandlungsdauer: 8 Monate

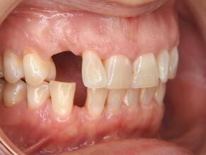
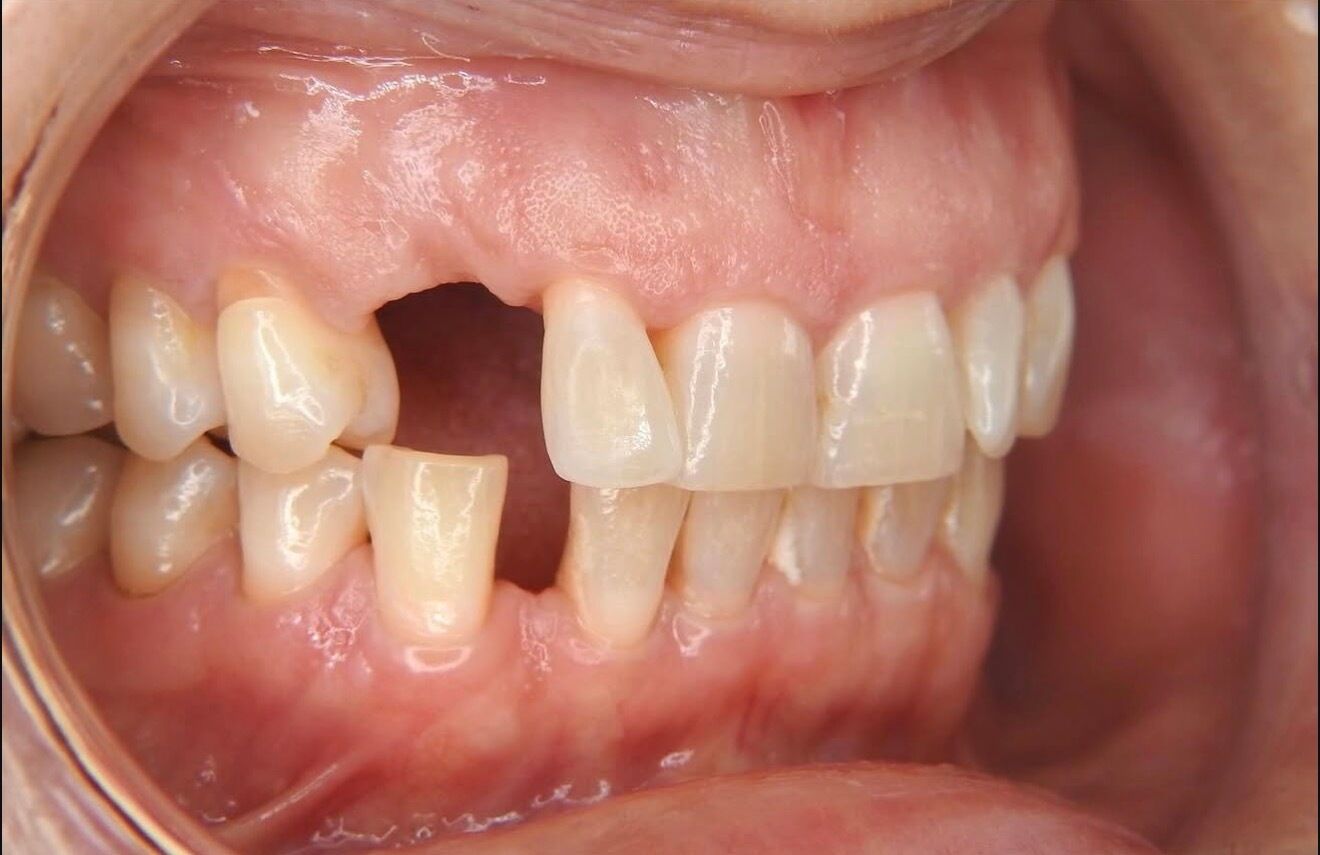
Ein verlorener Eckzahn im Oberkiefer wurde durch ein ästhetisches Zahnimplantat mit Zirkonkrone ersetzt.

Fester Zahnersatz mittels Zahnimplantat wurde innerhalb von zwei Monaten nach der Implantation eingesetzt.

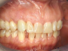
Präzise Implantatversorgung für ein stabiles und ästhetisches Ergebnis. Die kleinen Öffnungen in der Brücke werden im Anschluss mit Füllungsmaterial verschlossen.

Aktuelle Bilder sind in Bearbeitung.